Оборудование для предприятий
торговли, общественного питания
и пищевой промышленности

ТОРГОВАЯ ПЛОЩАДКА OBORUD.INFO

14396 предприятий | 32146 товаров

+ добавить предприятие | продукцию

главная  »  форум  »  сообщения рекламного характера  »  добавить  »  ответить  »  Индикаторная бумага для определения кишечной палочки

Индикаторная бумага для определения кишечной палочки

Индикаторная бумага для определения кишечной палочки - эффективный экспресс-метод определения и оценки бактериальных заражений в смывах с оборудования, в молочных и других жидких пищевых продуктах.

Технология производства индикаторной бумаги разработана ООО СИНТЕЛЕК в сотрудничестве с институтами Новосибирского Научного Центра.

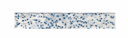
Индикаторная бумага - стерильные белые перфорированные полоски, пропитанные селективным индикатором и упакованные в прозрачные пакеты. После инкубации смоченной в исследуемом растворе индикаторной бумаги при 37 градусах в течении 12-18 часов индикатор окрашивает колонии кишечной палочки в сине-зеленый цвет.

Индикаторная бумага соответствует ТУ-6-09-1-85, аттестована Гос. Научным Центором Вирусологии и Биотехнологии ГНЦ ВБ Вектор, рекомендована к применению Испытательной Лабораторией пищевых продуктов и продовольственного сырья Новосибирского Центра Метрологии и Стандартизации Госстандарта РФ.


Внешний вид полоски индикаторной бумаги


Результат применения индикаторной бумаги. После инкубации отчетливо видны окрашенные колонии бактерий.


автор Синтелек
сообщ.добавлено: Пт Апр 14, 2006 4:38 am  
страница 1 из 1

Помощник посетителя

Текущая

Текущая страница

Отраслевой форум, рубрика сообщения рекламного характера: Индикаторная бумага для определения кишечной палочки

Выше на этой странице, вы можете ознакомиться с новостями от производителей и поставщиков оборудования и оставить свои комментарии к сообщению: Индикаторная бумага для определения кишечной палочки.

Вопрос-ответ
Вопрос-ответ

Если Вам не удалось найти на страницах сайта искомой информации, или возникли другие вопросы – оформите заявку, укажите вашу потребность и получите бесплатную консультацию специалиста

On-line вопрос-ответ

База данных в справочной службе Oborud.info намного обширней, информация предоставляется ОПЕРАТИВНО и БЕСПЛАТНО!!!

Переходы
Поиск
Поиск в новостях

любое слово все слова


* - данный вид поиска не учитывает склонение окончаний слов,
     поисковый запрос не менее 4 символов









Это интересно

Партнеры портала

Пищевое оборудование: Конвейеры розлив укупорка этикетировка
Завод пищевого, упаковочного, нестандартного и сельскохозяйственного оборудования
Яндекс.Метрика Рейтинг@Mail.ru Rambler's Top100

реклама на сайте

Портал оборудования для магазинов, ресторанов, пищевой промышленности
Администрация сайта не несет ответственности за достоверность и содержание информации, размещенной пользователями.
Права на все торговые марки, изображения и материалы, представленные на сайте, принадлежат их владельцам. Любое использование текстовых, фото, видео материалов законно только с согласия правообладателя

Портал оборудования на YoutubeTwitterВКонтакте
14+
политика конфиденциальности